Smile Gallery: Full Smile Makeovers
Whatever your dental needs are, we can help you! Please browse through our smile gallery to see how we've helped some of our patients.


This patient came to us after the pandemic with a chief complaint of "I want to fix my smile." She is currently a graduate student who also also teaches. After a lengthy conversation to uncover her desires and values, we came up with a treatment plan. There were three spaced out planning visits and Dr. Singh and Veronica recently delivered the patient's new smile. As you can see, she can't stop smiling!


This patient presented to our Ahwatukee office recently with a chief complain of "broken smile". She has been taking care of her elderly parents and putting her needs last. She realized there were several issues she needed to handle but her main concern was the front teeth which had broken off and fractured. We talked about how it is important to have back teeth to support the weight of a bite; the patient understood this and elected to start address her functional and cosmetic situation on the front before moving on to the back teeth. What you see is the ...



This patient has not been happy with her smile for over 20 years due to chipping of her teeth and crowding. Braces were not an option for her, she said, "being 70 years of age." We did a mockup of her smile and, after a visit to the lab, she was able to have a new smile in 3 weeks.


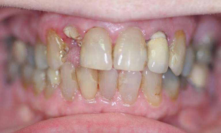
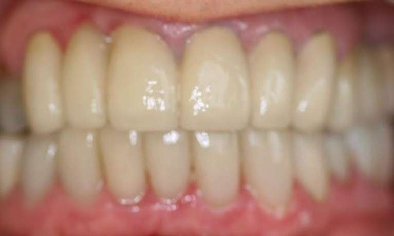
This patient came to our practice after years of not being able to take care of her dental needs. We phased her treatment for a full mouth reconstruction, including removal of hopeless teeth and rehabilitation of the broken down ones.



